
Journal of International Oncology ›› 2026, Vol. 53 ›› Issue (3): 129-136.doi: 10.3760/cma.j.cn371439-20250530-00021
• Original Article • Previous Articles Next Articles
Li Yao, Tian Lin, Liu Haolin, Xiao Jing(
)
Received:2025-05-30
Online:2026-03-08
Published:2026-02-09
Contact:
Xiao Jing
E-mail:66385261@qq.com
Li Yao, Tian Lin, Liu Haolin, Xiao Jing. Effects of lncRNA CASC19 on proliferation,migration and invasion of breast cancer cells by regulating miR-410-3p/LAMC1 signaling pathway[J]. Journal of International Oncology, 2026, 53(3): 129-136.
"
| 基因 | 正向引物 | 反向引物 |
|---|---|---|
| CASC19 | 5'-TTTAGCCTGCATAGGACCCT-3' | 5'-GTCTGGTCAAATTACAATCAGTTGG-3' |
| miR-410-3p | 5'-TCGGCGTCTCCCAACCCTTGTAC-3' | 5'-GTCGTATCCAGTCCAGGGTCCGAGGT-3' |
| LAMC1 | 5'-ACTCCTAATCTTGGACCATAC-3' | 5'-ACAACAGCACAACTTGAAC-3' |
| U6 | 5'-CTCGCTTCGGCAGCACA-3' | 5'-AACGCTTCACGAATTTGCG-3' |
| GAPDH | 5'-GAAGGTGAAGGTCGGAGTCA-3' | 5'-AATGAAGGGGTCATTGATGG-3' |
"
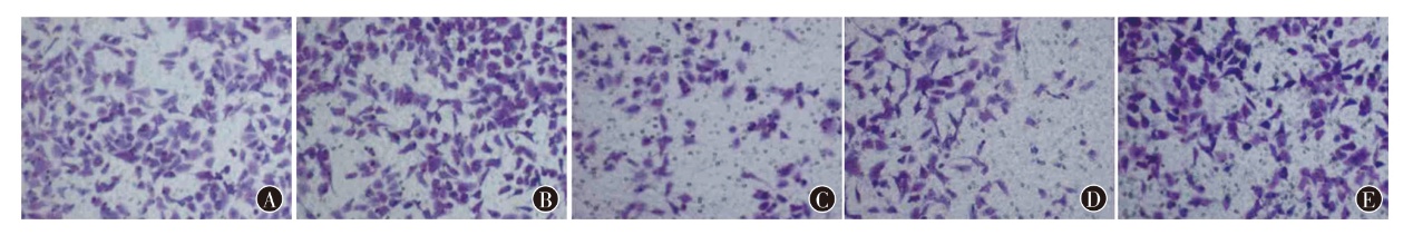
| 组别 | CASC19 | miR-410-3p | LAMC1 |
|---|---|---|---|
| NC组 | 1.01±0.16 | 1.00±0.33 | 1.00±0.17 |
| sh-NC组 | 0.96±0.16 | 1.07±0.34 | 1.05±0.17 |
| sh-CASC19组 | 0.37±0.13ab | 1.92±0.38ab | 0.44±0.13ab |
| sh-CASC19+anti-NC组 | 0.34±0.11ab | 1.88±0.39ab | 0.41±0.13ab |
| sh-CASC19+anti-miR-410-3p组 | 0.35±0.11ab | 1.34±0.37cd | 0.89±0.15cd |
| F值 | 39.05 | 8.72 | 25.21 |
| P值 | <0.001 | <0.001 | <0.001 |
"
| 组别 | PCNA | LAMC1 | MMP-2 |
|---|---|---|---|
| NC组 | 1.14±0.14 | 1.37±0.15 | 0.93±0.13 |
| sh-NC组 | 1.17±0.15 | 1.32±0.14 | 0.88±0.10 |
| sh-CASC19组 | 0.34±0.10ab | 0.59±0.09ab | 0.23±0.07ab |
| sh-CASC19+anti-NC组 | 0.36±0.11ab | 0.61±0.09ab | 0.25±0.08ab |
| sh-CASC19+anti-miR-410-3p组 | 0.93±0.13cd | 1.18±0.12cd | 0.76±0.10cd |
| F值 | 62.32 | 58.94 | 73.41 |
| P值 | <0.001 | <0.001 | <0.001 |
| [1] | Li Y, Wei J, Sun Y, et al. DLGAP5 regulates the proliferation, migration, invasion, and cell cycle of breast cancer cells via the JAK2/STAT3 signaling axis[J]. Int J Mol Sci, 2023, 24(21): 15819. DOI: 10.3390/ijms242115819. |
| [2] | Yu Y, Wu X, Liu S, et al. Piezo1 regulates migration and invasion of breast cancer cells via modulating cell mechanobiological properties[J]. Acta Biochim Biophys Sin (Shanghai), 2021, 53(1): 10-18. DOI: 10.1093/abbs/gmaa112. |
| [3] |
Kim K, Kim YJ. RhoBTB3 regulates proliferation and invasion of breast cancer cells via Col1a1[J]. Mol Cells, 2022, 45(9): 631-639. DOI: 10.14348/molcells.2022.2037.
pmid: 35698915 |
| [4] |
Venkatesh J, Wasson MCD, Brown JM, et al. LncRNA-miRNA axes in breast cancer: novel points of interaction for strategic attack[J]. Cancer Lett, 2021, 509: 81-88. DOI: 10.1016/j.canlet.2021.04.002.
pmid: 33848519 |
| [5] | 杨雯靖, 李建梅, 金鑫, 等. lncRNA CASC19调节miR-410-3p/HMGB1信号轴对乳腺癌细胞增殖、侵袭和迁移的影响[J]. 中国优生与遗传杂志, 2025, 33(1): 45-51. DOI: 10.13404/j.cnki.cjbhh.2025.01.006. |
| [6] | Liu X, Yao W, Xiong H, et al. LncRNA NEAT1 accelerates breast cancer progression through regulating miR-410-3p/CCND1 axis[J]. Cancer Biomark, 2020, 29(2): 277-290. DOI: 10.3233/CBM-190721. |
| [7] | Wang YQ, Huang G, Chen J, et al. LncRNA SNHG6 promotes breast cancer progression and epithelial-mesenchymal transition via miR-543/LAMC1 axis[J]. Breast Cancer Res Treat, 2021, 188(1): 1-14. DOI: 10.1007/s10549-021-06190-y. |
| [8] | WHO Classification of Tumors Editorial Board. Breast tumours:WHO classification of tumours (medicine) 5th edition[M]. Lyon: International Agency for Research on Cancer, 2019: 172-176. |
| [9] | Yang H, Wang Z, Hu S, et al. miRNA-874-3p inhibits the migration, invasion and proliferation of breast cancer cells by targeting VDAC1[J]. Aging (Albany NY), 2023, 15(3): 705-717. DOI: 10.18632/aging.204474. |
| [10] |
Xu C, Yang K, Xuan Z, et al. BCKDK regulates breast cancer cell adhesion and tumor metastasis by inhibiting TRIM21 ubiquitinate talin1[J]. Cell Death Dis, 2023, 14(7): 445. DOI: 10.1038/s41419-023-05944-4.
pmid: 37460470 |
| [11] |
Mahmoud M, Abdollah MRA, Elsesy ME, et al. The natural isoflavone Biochanin-A synergizes 5-fluorouracil anticancer activity in vitro and in vivo in Ehrlich solid-phase carcinoma model[J]. Phytother Res, 2022, 36(3): 1310-1325. DOI: 10.1002/ptr.7388.
pmid: 35112408 |
| [12] |
Shen Y, Peng X, Shen C. Identification and validation of immune-related lncRNA prognostic signature for breast cancer[J]. Genomics, 2020, 112(3): 2640-2646. DOI: 10.1016/j.ygeno.2020.02.015.
pmid: 32087243 |
| [13] | Zhao J, Li C, Chen S, et al. Overexpression of CASC19 indicates poor prognosis and facilitates proliferation, migration and invasion in colorectal cancer[J]. Transl Cancer Res, 2019, 8(4): 1249-1257. DOI: 10.21037/tcr.2019.07.17. |
| [14] | Lu T, Wei GH, Wang J, et al. LncRNA CASC19 contributed to the progression of pancreatic cancer through modulating miR-148b/E2F7 axis[J]. Eur Rev Med Pharmacol Sci, 2020, 24(20): 10462-10471. DOI: 10.26355/eurrev_202010_23399. |
| [15] | Qu CX, Shi XC, Zai LQ, et al. LncRNA CASC19 promotes the proliferation, migration and invasion of non-small cell lung carcinoma via regulating miRNA-130b-3p[J]. Eur Rev Med Pharmacol Sci, 2019, 23(3 Suppl): 247-255. DOI: 10.26355/eurrev_201908_18654. |
| [16] | Yao SJ, Ma HS, Liu GM, et al. Increased IL-1α expression is correlated with bladder cancer malignant progression[J]. Arch Med Sci, 2023, 19(1): 160-170. DOI: 10.5114/aoms.2020.100677. |
| [17] | Kandil NS, Kandil LS, Mohamed R, et al. The role of miRNA-182 and FOXO3 expression in breast cancer[J]. Asian Pac J Cancer Prev, 2022, 23(10): 3361-3370. DOI: 10.31557/APJCP.2022.23.10.3361. |
| [18] |
Liu MX, Chu KM. MiR-410-3p suppresses primary gastric cancer and exosomes regulate endogenous expression of miR-410-3p[J]. Am J Cancer Res, 2023, 13(6): 2670-2680.
pmid: 37424822 |
| [19] | Wang H, Feng L, Zheng Y, et al. LINC00680 promotes the progression of non-small cell lung cancer and functions as a sponge of miR-410-3p to enhance HMGB1 expression[J]. Onco Targets Ther, 2020, 13(1): 8183-8196. DOI: 10.2147/OTT.S259232. |
| [20] | Fiscon G, Funari A, Paci P. Circular RNA mediated gene regulation in human breast cancer: a bioinformatics analysis[J]. PLoS One, 2023, 18(7): e0289051. DOI: 10.1371/journal.pone.0289051. |
| [21] |
Bai J, Zhao Y, Shi K, et al. HIF-1α-mediated LAMC1 overexpression is an unfavorable predictor of prognosis for glioma patients: evidence from pan-cancer analysis and validation experiments[J]. J Transl Med, 2024, 22(1): 391. DOI: 10.1186/s12967-024-05218-3.
pmid: 38678297 |
| [22] | Han ZR, Jiang XL, Fan WC. LAMC1 is related to the poor prognosis of patients with gastric cancer and facilitates cancer cell malignancies[J]. Neoplasma, 2021, 68(4): 711-718. DOI: 10.4149/neo_2021_201117N1239. |
| [23] |
Chen J, Liu Z, Zhong Y, et al. Circ_0124208 promotes the progression of hepatocellular carcinoma by regulating the miR-338-3p/LAMC1 axis[J]. Mol Biotechnol, 2023, 65(11): 1750-1763. DOI: 10.1007/s12033-023-00686-2.
pmid: 36780058 |
| [24] | Yu Z, Wang X, Niu K, et al. LncRNA TM4SF19-AS1 exacerbates cell proliferation, migration, invasion, and EMT in head and neck squamous cell carcinoma via enhancing LAMC1 expression[J]. Cancer Biol Ther, 2022, 23(1): 1-9. DOI: 10.1080/15384047.2022.2116923. |
| [1] | Qu Zhenjie, Cui Qin. Research of the mechanism of lncRNA FGD5-AS1/miR-154-5p/WNT5A signaling pathway in regulating proliferation and migration of paclitaxel-resistant gastric cancer cells [J]. Journal of International Oncology, 2026, 53(3): 137-143. |
| [2] | Laibijiang Wusiman, Song Dingding, Zhang Wenbin. Effect of SPART on the proliferation and migration capabilities of gastric cancer cell through lipophagy [J]. Journal of International Oncology, 2026, 53(2): 73-78. |
| [3] | Yang Xinting, Ma Tengyu, Guan Shulong, Yang Mei, Jiang Zhou, Yang Xinru, Jiang Liangqian, Gao Meihua, Xu Yingjie, Cong Beibei. Research on the mechanism of targeting CD59 to inhibit proliferation, migration, and induce apoptosis in oral squamous cell carcinoma [J]. Journal of International Oncology, 2026, 53(1): 16-23. |
| [4] | Zhang Xiaoxi, Cheng Chunlai. Expression of ALDH6A1 in clear cell renal cell carcinoma and its impacts on proliferation, apoptosis, and invasion of renal cancer cells [J]. Journal of International Oncology, 2026, 53(1): 38-46. |
| [5] | Liu Xinlei, Li Yaru, Chen Shuning, Tang Shenghao, Qin Yan, Liu Yankui, Qi Xiaowei. Research progress of HER2 ultra-low expression breast cancer [J]. Journal of International Oncology, 2026, 53(1): 53-56. |
| [6] | Wang Mengju, Wang Xia. Anti-tumor effect and immunomodulatory mechanism of atractylenolide Ⅱ on colon cancer mice [J]. Journal of International Oncology, 2025, 52(9): 545-553. |
| [7] | Chen Qiaoliang, Qin Xinyan, Lai Ruihe, Tan Shuangxiu. Diagnostic value of multimodal Nomogram model combining 18F-FDG PET/CT and ultrasound for triple negative breast cancer [J]. Journal of International Oncology, 2025, 52(9): 560-565. |
| [8] | Liu Mei, Hu Yuchong, Li Fengtong, Chao Lemen, Liu Meng, Kang Linlin. Mechanism of action of SHCBP1 in malignant tumors and progress in clinical research [J]. Journal of International Oncology, 2025, 52(9): 583-586. |
| [9] | Guo Junlong, Zou Ruiqi, Chen Shaoqiang, Liang Yuxin, Li Jing, Yong Sunan, He Yuting, Xie Xiaobing, Li Ping. Research progress of RNA m6A modification in breast cancer [J]. Journal of International Oncology, 2025, 52(8): 532-537. |
| [10] | Li Chengqiang, Wang Yungang, Yu Yishan, Wu Shizhang, Tao Cheng, Ma Xingmin, Dai Tianyuan, Duan Jinghao, Chen Jinhu, Bai Tong, Zhu Jian. Analysis of dosimetric characteristics of proton radiotherapy in 4 cases of breast cancer [J]. Journal of International Oncology, 2025, 52(7): 448-454. |
| [11] | Liu Shan, Pan Yue, Zhang Zhuo, Liu Chong, Li Xueman, Xiong Fei. Inhibition of the growth, migration, and angiogenesis of esophageal squamous cell carcinoma by metformin by regulating ALKBH3 expression [J]. Journal of International Oncology, 2025, 52(6): 343-352. |
| [12] | Li Lixi, Duan Boshi, Qian Haili, Ma Fei. Advances in the clinical and translational applications of breast cancer organoids [J]. Journal of International Oncology, 2025, 52(6): 379-381. |
| [13] | Zhou Wenkao, Huang Hesen, Pan Yimei, Huang Lingyan, Wang Mingshan, Zhao Fangli, Wang Ya, Tang Huimin. Comparison of the efficacy and construction of prediction model for relapse free survival in breast cancer based on diabetes mellitus type 2 [J]. Journal of International Oncology, 2025, 52(5): 295-303. |
| [14] | Liu Yiyong, Huo Fengzhi. Differential diagnosis model construction of invasive degree of lung adenocarcinoma manifesting as ground-glass nodules with no or little solid component based on energy spectrum CT features [J]. Journal of International Oncology, 2025, 52(4): 197-201. |
| [15] | Wang Zhibao, Li Guangxian, Zhang Xinxin, Cui Wei, Zhang Wei. Predictive value of MRI combined with serum lncRNA KCNQ1OT1, miR-204-5p for axillary lymph node metastasis of breast cancer [J]. Journal of International Oncology, 2025, 52(2): 89-93. |
| Viewed | ||||||
|
Full text |
|
|||||
|
Abstract |
|
|||||