Journal of International Oncology ›› 2026, Vol. 53 ›› Issue (4): 219-223.doi: 10.3760/cma.j.cn371439-20250520-00036

• Original Article • Previous Articles     Next Articles

Short-term efficacy and clinical outcomes of concurrent chemoradiotherapy followed by anlotinib maintenance treatment in patients with locally advanced cervical cancer

Han Yufei1, Li Fengmei2, Zhang Weina1, Zhang Ping1, Hou Ping1()   

  1. 1 Department of GynecologyQingdao Municipal HospitalQingdao 266011, China
    2 Department of StomatologyQingdao Municipal HospitalQingdao 266011, China
  • Received:2025-05-20 Online:2026-04-08 Published:2026-04-01
  • Contact: Hou Ping E-mail:13708950098@139.com
  • Supported by:
    Clinical Scientific Research Fund of Shandong Medical Association-Qilu Special Project(YXH2022ZX02155)

Abstract:

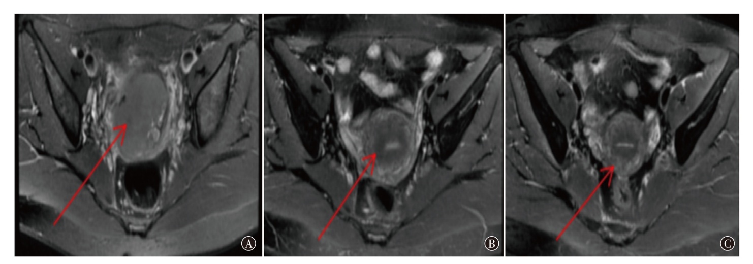
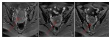
Objective To observe the efficacy and safety of anlotinib maintenance treatment in patients with locally advanced cervical cancer (LACC) after concurrent chemoradiotherapy. Methods From October 2021 to August 2022, 68 patients with LACC admitted to Qingdao Municipal Hospital were selected as the research subjects. According to different treatment regimens, they were divided into an observation group of 32 cases (receiving anlotinib maintenance treatment after concurrent chemoradiotherapy) and a control group of 36 cases (receiving concurrent chemoradiotherapy alone), with 21 days as one course of treatment. Serum tumor marker squamous cell carcinoma antigen (SCC) was reexamined after each course of treatment. Imaging MR was performed every 2 courses of treatment to evaluate the changes in the size of cervical lesions, and the occurrence of drug-related adverse reactions in the two groups of patients was observed. The progression-free survival (PFS) was compared between the two groups. Results By the end of follow-up,the SCC and maximum cervical lesion diameter in the observation group were (5.81±0.62) ng/ml and (3.66±0.84) cm, respectively, and those in the control group were (6.79±0.53) ng/ml and (4.32±0.68) cm, respectively, with statistically significant differences (t=8.50, P<0.001; t=4.32, P<0.001). The complete remission rate of the observation group was 81.25% (26/32), which was significantly higher than that of the control group (50.00%, 18/36), with a statistically significant difference (χ2=7.24, P=0.007). The incidence of secondary hypertension in the observation group was 46.88% (15/32), higher than 22.22% (8/36) in the control group, with a statistically significant difference (χ2=4.60, P=0.032), however, all were grade 1-2. There were no statistically significant differences in the incidence of hematological toxicity [62.50% (20/32) vs. 50.00% (18/36), χ2=1.07, P=0.300], gastrointestinal reactions [34.38% (11/32) vs. 25.00% (9/36), χ2=0.72, P=0.397], radiation cystitis [15.63% (5/32) vs. 11.11% (4/36), χ2=0.30, P=0.584], radiation proctitis [18.75% (6/32) vs. 11.11% (4/36), χ2=0.79, P=0.375] and proteinuria [21.88% (7/32) vs. 19.44% (7/36), χ2=0.06, P=0.805] between the observation group and the control group. The median PFS in the observation group was 23.75 months, which was significantly longer than 15.16 months of the control group, with a statistically significant difference (χ2=4.28, P=0.034). Conclusions The complete remission rate of concurrent chemoradiotherapy followed by anlotinib maintenance treatment for LACC is higher than that of concurrent chemoradiotherapy alone, the adverse reactions are controllable, and can prolong the PFS of patients.

Key words: Uterine cervical neoplasms, Chemoradiotherapy, Drug-related side effects and adverse reactions, Prognosis, Anlotinib