
Journal of International Oncology ›› 2025, Vol. 52 ›› Issue (10): 628-632.doi: 10.3760/cma.j.cn371439-20250331-00107
• Original Article • Previous Articles Next Articles
Chen Qiaoliang, Liang Di, Chen Jing, He Jian(
)
Received:2025-03-31
Revised:2025-06-09
Online:2025-10-08
Published:2025-11-12
Contact:
He Jian
E-mail:hjxueren@126.com
Chen Qiaoliang, Liang Di, Chen Jing, He Jian. Value of 18F-FDG PET/CT in differentiating primary intestinal diffuse large B-cell lymphoma from colon cancer in the ileocecal region[J]. Journal of International Oncology, 2025, 52(10): 628-632.
"
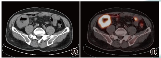
| 项目 | PIDLBCL(n=17) | 结肠癌(n=25) | Z/χ2值 | P值 |
|---|---|---|---|---|
| 年龄(岁) | 63(56,72) | 69(62,74) | -1.48 | 0.140 |
| 性别 | ||||
| 男 | 11 | 9 | 3.34 | 0.067 |
| 女 | 6 | 16 | ||
| 肿瘤长径(cm) | 8.70(6.10,11.30) | 5.10(4.10,6.10) | -2.63 | 0.009 |
| 最大厚度(cm) | 2.60(2.30,3.60) | 1.90(1.60,2.20) | -3.26 | 0.001 |
| 累及回肠 | ||||
| 有 | 12 | 8 | 6.04 | 0.014 |
| 无 | 5 | 17 | ||
| 肠腔扩张 | ||||
| 有 | 10 | 3 | 10.38 | 0.001 |
| 无 | 7 | 22 | ||
| 肠周渗出 | ||||
| 有 | 6 | 16 | 3.34 | 0.067 |
| 无 | 11 | 9 | ||
| 区域淋巴结增大 | ||||
| 有 | 12 | 13 | 1.45 | 0.228 |
| 无 | 5 | 12 | ||
| SUVmax | 24.37(17.57,28.89) | 12.34(9.50,17.11) | -3.73 | <0.001 |
| SUVmean | 12.84(10.31,16.39) | 7.35(5.63,10.00) | -3.40 | <0.001 |
| SUVmin | 8.03(5.27,11.36) | 4.94(3.80,6.85) | -1.88 | 0.060 |
| MTV (cm3) | 63.74(8.83,191.23) | 13.18(10.82,24.90) | -2.37 | 0.018 |
| TLG (g) | 1 683.24(129.18,3 047.70) | 109.46(67.37,177.26) | -2.93 | 0.003 |
| [1] |
Hoeffel C, Crema MD, Belkacem A, et al. Multi-detector row CT: spectrum of diseases involving the ileocecal area[J]. Radiographics, 2006, 26(5): 1373-1390. DOI: 10.1148/rg.265045191.
pmid: 16973770 |
| [2] | Tang SJ, Wu R. Ilececum: a comprehensive review[J]. Can J Gastroenterol Hepatol, 2019, 2019: 1451835. DOI: 10.1155/2019/1451835. |
| [3] |
Olszewska-Szopa M, Wróbel T. Gastrointestinal non-Hodgkin lymphomas[J]. Adv Clin Exp Med, 2019, 28(8): 1119-1124. DOI: 10.17219/acem/94068.
pmid: 31414733 |
| [4] | Hasturk D, Akturk Esen S, Buyukaksoy M, et al. Primary colon lymphomas: an analysis of our experience over the last 18 years[J]. Medicine (Baltimore), 2024, 103(19): e38013. DOI: 10.1097/MD.0000000000038013. |
| [5] | 杜晓兢, 李菲, 侯丽娜. 回盲部病变的多层螺旋CT影像表现及鉴别诊断分析[J]. 中国药物与临床, 2020, 20(19): 3207-3208. DOI: 10.11655/zgywylc2020.19.014. |
| [6] | Chen X, Wang J, Liu Y, et al. Primary intestinal diffuse large B-cell lymphoma: novel insights and clinical perception[J]. Front Oncol, 2024, 14: 1404298. DOI: 10.3389/fonc.2024.1404298. |
| [7] |
Dekker E, Tanis PJ, Vleugels JLA, et al. Colorectal cancer[J]. Lancet, 2019, 394(10207): 1467-1480. DOI: 10.1016/S0140-6736(19)32319-0.
pmid: 31631858 |
| [8] | 李斐. CT检查在结肠癌与结肠淋巴瘤鉴别诊断中的应用[J]. 临床医学, 2022, 42(3): 95-96. DOI: 10.19528/j.issn.1003-3548.2022.03.037. |
| [9] | Ghimire P, Wu GY, Zhu L. Primary gastrointestinal lymphoma[J]. World J Gastroenterol, 2011, 17(6): 697-707. DOI: 10.3748/wjg.v17.i6.697. |
| [10] | Wei JT, Miller EA, Woosley JT, et al. Quality of colon cancer pathology reporting: a process of care study[J]. Cancer, 2004, 100(6):1262-1267. DOI: 10.1002/cncr.20090. |
| [11] | Lu PW, Fields AC, Yoo J, et al. Surgical management of small bowel lymphoma[J]. J Gastrointest Surg, 2021, 25(3): 757-765. DOI: 10.1007/s11605-020-04730-3. |
| [12] | Abedizadeh R, Majidi F, Khorasani HR, et al. Colorectal cancer: a comprehensive review of carcinogenesis, diagnosis, and novel strategies for classified treatments[J]. Cancer and Metastasis Reviews, 2024, 43(2): 729-753. DOI: 10.1007/s10555-023-10158-3. |
| [13] | Weng J, Li S, Zhu Z, et al. Exploring immunotherapy in colorectal cancer[J]. J Hematol Oncol, 2022, 15(1): 95. DOI: 10.1186/s13045-022-01294-4. |
| [14] | Zanoni L, Bezzi D, Nanni C, et al. PET/CT in non-Hodgkin lymphoma: an update[J]. Semin Nucl Med, 2023, 53(3): 320-351. DOI: 10.1053/j.semnuclmed.2022.11.001. |
| [15] |
Juweid ME, Mueller M, Alhouri A, et al. Positron emission tomography/computed tomography in the management of Hodgkin and B-cell non-Hodgkin lymphoma: an update[J]. Cancer, 2021, 127(20): 3727-3741. DOI: 10.1002/cncr.33772.
pmid: 34286864 |
| [16] | Du X, Zhu F, Yu C. The value of 18F-FDG PET/CT in the diagnosis of tuberculous pleurisy and in the differential diagnosis between tuberculous pleurisy and pleural metastasis from lung adenocarcinoma[J]. Contrast Media Mol Imaging, 2022, 2022: 4082291. DOI: 10.1155/2022/4082291. |
| [17] | Park JC, Park JG, Jung GS, et al. Usefulness of 18F-FDG PET/CT and multiphase CT in the differential diagnosis of hepatocellular carcinoma and combined hepatocellular carcinoma-cholangiocarcinoma[J]. Taehan Yongsang Uihakhoe Chi, 2020, 81(6): 1424-1435. DOI: 10.3348/jksr.2019.0154. |
| [18] | Broccoli A, Nanni C, Cappelli A, et al. Diagnostic accuracy of positron emission tomography/computed tomography-driven biopsy for the diagnosis of lymphoma[J]. Eur J Nucl Med Mol Imaging, 2020, 47(13): 3058-3065. DOI: 10.1007/s00259-020-04913-9. |
| [19] |
Ippolito D, Maino C, Bianco I, et al. The usefulness of preoperative CT in colon cancer staging: impact of radiologists' experience[J]. Abdom Radiol (NY), 2023, 48(4): 1215-1226. DOI: 10.1007/s00261-023-03835-y.
pmid: 36745207 |
| [20] | 关炜, 王全师, 吴湖炳, 等. 原发性肠淋巴瘤的18F-FDG PET/CT影像学表现[J]. 南方医科大学学报, 2016, 36(9): 1175-1180. DOI: 10.3969/j.issn.1673-4254.2016.09.02. |
| [21] | Rossi C, Tosolini M, Gravelle P, et al. Baseline SUVmax is related to tumor cell proliferation and patient outcome in follicular lymphoma[J]. Haematologica, 2022, 107(1): 221-230. DOI: 10.3324/haematol.2020.263194. |
| [22] | 来瑞鹤, 滕月, 戎剑, 等. 基于18F-FDG PET/CT原发灶影像组学的联合模型预测NSCLC淋巴结转移的价值[J]. 国际肿瘤学杂志, 2025, 52(3): 144-151. DOI: 10.3760/cma.j.cn371439-20241113-00022. |
| [1] | Wang Mengju, Wang Xia. Anti-tumor effect and immunomodulatory mechanism of atractylenolide Ⅱ on colon cancer mice [J]. Journal of International Oncology, 2025, 52(9): 545-553. |
| [2] | Chen Qiaoliang, Qin Xinyan, Lai Ruihe, Tan Shuangxiu. Diagnostic value of multimodal Nomogram model combining 18F-FDG PET/CT and ultrasound for triple negative breast cancer [J]. Journal of International Oncology, 2025, 52(9): 560-565. |
| [3] | Lai Ruihe, Teng Yue, Rong Jian, Sheng Dandan, Geng Yuzhi, Chen Jianxin, Jiang Chong, Ding Chongyang, Zhou Zhengyang. Predictive value of a combined model for lymph node metastasis in NSCLC based on primary lesion radiomics from 18F-FDG PET/CT [J]. Journal of International Oncology, 2025, 52(3): 144-151. |
| [4] | Lai Ruihe, Sheng Dandan, He Jian, Ding Chongyang, Geng Yuzhi. Prognostic value of 18F-FDG PET/CT metabolic parameters in small cell lung cancer [J]. Journal of International Oncology, 2025, 52(10): 614-620. |
| [5] | Chu Xuelei, Mao Yun, Xue Peng, Li Linlu, Chen Meichi, Yuan Chunsheng, Qin Xiaoyan, Zhu Shijie. Effects of chemotherapy dose intensity on short-term efficacy in patients with advanced colon cancer: a study based on real-world data [J]. Journal of International Oncology, 2022, 49(7): 408-415. |
| [6] | Laibijiang Wusiman, Cao Bowei, Zhang Wenbin, Gao Hua. Effects of exogenous AGR2 on the proliferation and invasion abilities of colon cancer cells [J]. Journal of International Oncology, 2022, 49(2): 73-78. |
| [7] | Li Qianqian, Zhu Xiaodi, Zhao Ronglan, Peng Xiaoxiang. Role of P2X7 receptor in colon cancer progression [J]. Journal of International Oncology, 2021, 48(4): 250-253. |
| [8] | Zhou Huiping, Li Yuhua, Wang Yuhui, Su Yilong, Yang Yingying, Xu Xiaotian, Duan Xiaoqun. Preventive and therapeutic effects of common plant drugs on colon cancer and its mechanism [J]. Journal of International Oncology, 2020, 47(1): 51-55. |
| [9] | Zhao Gaochuan, Chen Qingqi, Pang Li, Cheng Zheng, Mai Fangqi. Serum levels and clinical significances of miR-205 and miR-221 in patients with colon cancer [J]. Journal of International Oncology, 2019, 46(9): 526-530. |
| [10] | HUANG Jiang, ZHANG Sheng-Jun, BAI Li-Jie, CHANG Qi. Relationship between the decrease of serum level of carcinoembryonic antigen during perioperative period and the prognosis in patients with colon cancer [J]. Journal of International Oncology, 2017, 44(8): 662-667. |
| [11] | LI Si-Yuan, XU Wen-Gui, TONG Guan-Sheng, ZHANG Li, WEN Zhe. Value of 18FFDG PET/CT in evaluation of curative effect and progressionfree survival on lymphoma [J]. Journal of International Oncology, 2017, 44(5): 361-365. |
| [12] | 黄虞,杜冀晖,龚慧,王秀,王磊,李一凡. miR-92a promotes colorectal cancer cell proliferation by regulation of KLF4 gene expression [J]. Journal of International Oncology, 2017, 44(11): 812-818. |
| [13] | Wan Lijuan, Chen Mingwei. Relationship between insulin resistance related factors and colon cancer stem cells [J]. Journal of International Oncology, 2017, 44(10): 790-793. |
| [14] | Luo Li, Shen Qun, Xi Xuping, Liu Feng, Xiao Feng.. Application of 18FFDG PETCT in nasopharyngeal carcinoma [J]. Journal of International Oncology, 2016, 43(8): 615-618. |
| [15] | GAN Ya-Ping, GUO Xiao-Hua, ZHANG Jun-Yu, XU Qing-Qing, WU Jiang, WANG Ren-Yong, QIU Min, JIANG Ru-Gang, LIU Fu-Xing, NING Zhi-Feng. Construction of colonic cancer drugresistant cell line COLO and its relationship with tumor stem cells [J]. Journal of International Oncology, 2016, 43(8): 646-650. |
| Viewed | ||||||
|
Full text |
|
|||||
|
Abstract |
|
|||||