Journal of International Oncology ›› 2025, Vol. 52 ›› Issue (10): 653-658.doi: 10.3760/cma.j.cn371439-20250217-00112

• Dosimetric Characteristics of Proton Radiotherapy • Previous Articles     Next Articles

Analysis of dosimetric characteristics of proton radiotherapy in 3 cases of lung cancer

Tao Cheng1,2, Fan Bingjie3, Li Chengqiang1,2, Wu Shizhang1,2, Duan Jinghao1,2, Dai Tianyuan1,2, Bai Tong1,2, Chen Jinhu1,2, Zhu Jian1,2()   

  1. 1Department of Radiation Oncology Physics, Shandong Cancer Hospital and Institute, Shandong First Medical University and Shandong Academy of Medical Sciences, Jinan 250117, China
    2Shandong Provincial Key Medical and Health Laboratory of Pediatric Cancer Precision Radiotherapy (Shandong Cancer Hospital), Jinan 250117, China
    3Department of Radiation Oncology (Chest Section 3), Shandong Cancer Hospital and Institute, Shandong First Medical University and Shandong Academy of Medical Sciences, Jinan 250117, China
  • Received:2025-02-17 Revised:2025-08-23 Online:2025-10-08 Published:2025-11-12
  • Contact: Zhu Jian E-mail:zhujian@sdfmu.edu.cn
  • Supported by:
    National Science and Technology Major Project of China(2024ZD0519901);National Natural Science Foundation of China(12105160);National Natural Science Foundation of China(82172072);Key R&D Program of Shandong Province, China(2024CXPT084);Natural Science Foundation of Shandong Province of China(ZR2021QA099);Natural Science Foundation of Shandong Province of China(ZR2022QH188);Youth Innovation Team Development Plan of Shandong Universities(2024KJJ013);Shandong Provincial Young Science and Technology Talent Support Project(SDAST2024QTB034)

Abstract:

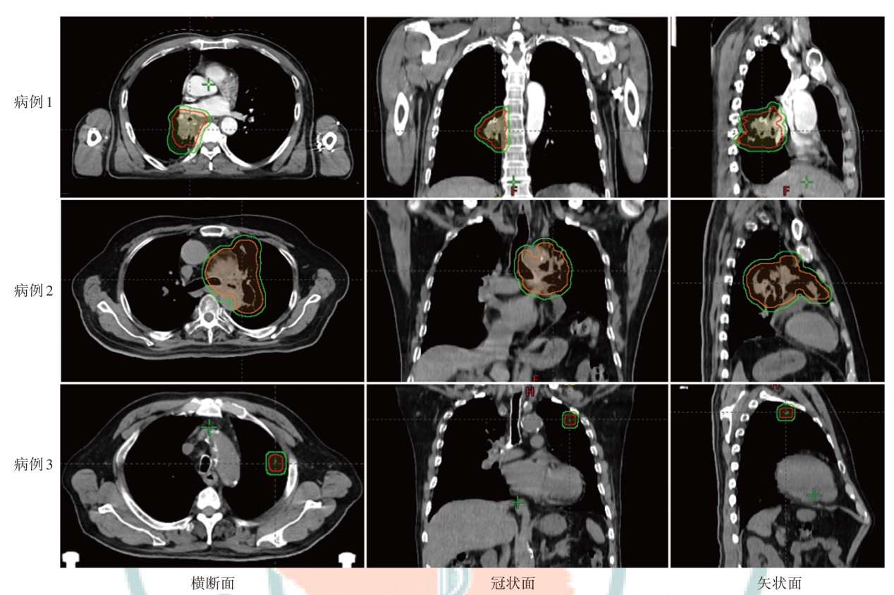
Objective To investigate the dosimetric characteristics of intensity modulated proton therapy (IMPT) and intensity modulated radiation therapy (IMRT) for lung cancers. Methods Three lung cancer patients (central-lower, central, and peripheral types) admitted to Shandong Cancer Hospital and Institute from January 2024 to May 2024 were selected as the research subjects. IMPT and IMRT plans were designed for each case based on the anatomical location of the clinical target volume and the dose constraints for organs at risk (OARs). Dosimetric parameters, including conformity index (CI), homogeneity index (HI), and gradient index (GI) for target coverage, as well as OARs dosimetric parameters were evaluated. The volume of additional dose deposition in the body was compared by assessing regions receiving 10%, 30%, and 50% of the prescription dose. Results For all three cases, IMRT plans demonstrated higher CI values (0.80, 0.60, and 0.79) compared to IMPT plans (0.61, 0.57, and 0.34). IMPT plans yielded lower HI values (0.07, 0.06, and 0.06) than IMRT plans (0.09, 0.15, and 0.09) and lower GI values (2.84, 2.47, and 4.56 vs. 4.91, 3.09, and 4.99 for IMRT plans). Compared with the IMRT plans, the low-dose region in the ipsilateral lung was significantly reduced in IMPT plans (V5 of the IMPT plans were 20.59%, 46.29%, 10.94%, respectively; V5 of the IMRT plans were 48.91%, 60.63%, 19.92%, respectively), but there was no significant advantage in the high-dose region compared to IMRT plans (V20 of the IMPT plans were 12.88%, 34.75%, 5.21%, respectively;V20 of the IMRT plans were 21.70%, 36.50%, 5.31%, respectively). The dose to the contralateral lung and heart was significantly reduced in IMPT plans [the Dmean of the contralateral lung in the IMPT plans were 0.08, 0.04, and 0.00 Gy (RBE), respectively, and those in the IMRT plans were 3.25, 1.18, and 0.55 Gy, respectively; the heart Dmean in the IMPT plans were 6.23, 7.04, and 0.00 Gy (RBE), respectively, while those of the IMRT plans were 18.33, 10.27, and 0.08 Gy, respectively). IMPT plans significantly reduced the volumes receiving 10% of the prescription dose by 65.94%, 25.57% and 72.47%, respectively, compared to IMRT plans. The volumes IMPT plans occupied by 30% of the prescription dose area in the body were reduced by 54.97%, 26.47% and 39.04%, respectively, compared to the IMRT plans. The volumes IMPT plans occupied by 50% of the prescription dose area in the body were reduced by 54.49%, 30.43% and 28.89%, respectively, compared to the IMRT plans. Conclusions IMPT plan significantly reduces the V5 of the ipsilateral lung, the Dmean of the contralateral lung and the heart, while maintaining target coverage compared with IMRT plan for lung cancers. However, IMPT plan does not show much more advantage than IMRT plan in the ipsilateral lung V20. IMPT can reduce the additional exposure volume within the body.

Key words: Lung neoplasms, Radiotherapy, Proton therapy, Radiotherapy dosage