Journal of International Oncology ›› 2025, Vol. 52 ›› Issue (10): 659-665.doi: 10.3760/cma.j.cn371439-20250217-00113

• Dosimetric Characteristics of Proton Radiotherapy • Previous Articles     Next Articles

Analysis of dosimetric characteristics of proton radiotherapy in 4 cases of esophageal cancer

Chen Jinhu1,2, Dai Tianyuan1,2, Sun Hongfu3, Wu Shizhang1,2, Li Chengqiang1,2, Tao Cheng1,2, Duan Jinghao1,2, Bai Tong1,2, Zhu Jian1,2()   

  1. 1Department of Radiation Oncology Physics, Shandong Cancer Hospital and Institute, Shandong First Medical University and Shandong Academy of Medical Sciences, Jinan 250117, China
    2Shandong Provincial Key Medical and Health Laboratory of Pediatric Cancer Precision Radiotherapy, Shandong Cancer Hospital, Jinan 250117, China
    3Department of Radiotherapy Oncology (Chest Section 5), Shandong Cancer Hospital and Institute, Shandong First Medical University and Shandong Academy of Medical Sciences, Jinan 250117, China
  • Received:2025-02-17 Revised:2025-06-20 Online:2025-10-08 Published:2025-11-12
  • Contact: Zhu Jian E-mail:zhujian@sdfmu.edu.cn
  • Supported by:
    National Science and Technology Major Project of China(2024ZD0519901);National Natural Science Foundation of China(12105160);National Natural Science Foundation of China(82172072);Natural Science Foundation of Shandong Province of China(2024CXPT084);Natural Science Foundation of Shandong Province of China(ZR2021QA099);Natural Science Foundation of Shandong Province of China(ZR2022QH188);Youth Innovation Team Development Plan of Shandong Universities(2024KJJ013);Shandong Provincial Young Science and Technology Talent Support Project(SDAST2024QTB034)

Abstract:

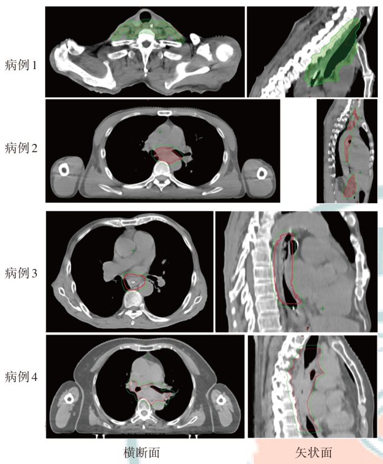
Objective To explore the dosimetric characteristics of proton radiotherapy plan and photon radiotherapy plan for esophageal cancer. Methods Four patients who were admitted to Shandong Cancer Hospital and Institute from January 2024 to April 2024 with esophageal cancer (cervical, middle thoracic and total esophageal tube, as well as the lymphatic drainage areas involved) and required radiotherapy were selected as the research subjects. Intensity modulated proton therapy (IMPT) and intensity modulated radiation therapy (IMRT) plans were designed respectively based on the clinical target volume and the dose constraints for organs at risk (OARs). Dosimetric parameters, including conformity index (CI), homogeneity index (HI), gradient index (GI) for target coverage, as well as OARs dosimetric parameters were evaluated. The volume of additional dose deposition in the body was compared by assessing regions receiving 10%, 30%, and 50% of the prescription dose. Results For all four cases, IMPT plans yielded lower HI values (0.12, 0.10, 0.06, and 0.08) than IMRT plans (0.15, 0.13, 0.10, and 0.11), and the GI values of IMPT plans (3.11, 3.21, 2.43, and 2.72) was lower than IMRT plans (4.52, 5.14, 3.09, and 3.92). Moreover, the CI of the IMPT plans (0.59, 0.60, 0.77, and 0.72) was inferior to IMRT plans (0.81, 0.77, 0.91, and 0.85). Compared with the IMRT plans, in the whole lung dose indicators of the IMPT plans for the 4 patients, V5 decreased by 34.1%, 55.0%, 79.7% and 60.3%, respectively; V20 decreased by 48.3%, 43.9%, 65.8% and 40.8%, respectively, and Dmean decreased by 43.4%, 57.2%, 76.2% and 45.4%, respectively. V30 of the heart decreased by 36.2%, 45.3%, 40.1% and 52.4%, respectively, and Dmean of heart decreased by 96.6%, 57.9%, 58.5% and 55.3%, respectively. For the middle and lower thoracic target area, the liver was significantly protected in the IMPT plan (Dmean decreased by 76.0% compared with the IMRT plan). In terms of the additional dose deposition in the patient's body, IMPT plans reduced the volumes receiving 10%, 30% and 50% of the prescription dose by 45.0%-61.4%, 41.2%- 61.8% and 34.8%-61.6%, respectively, compared with the IMRT plans. Conclusions By comparing the dosimetric parameters of IMPT and IMRT plans for 4 cases of esophageal cancer, the IMPT plans have advantages in reducing the doses to lung tissue, heart, and liver, and can also reduce additional dose deposition in the patient's body.

Key words: Esophageal neoplasms, Radiotherapy, Proton therapy, Radiotherapy dosage